Preventivna stomatologija
Veoma je važno steći naviku redovne posete stomatologu. Kontrolnim pregledima najmanje dva puta godišnje, osim u slučaju da stomatolog proceni da je potrebno više puta obaviti posetu stomatologu, moguće je sprečiti sva oboljenja usta i zuba, ili ih otkriti na vreme, pa započeti adekvatnu terapiju.
Bez obzira na razvoj savremene stomatologije i godine naučno-isrtaživačkog rada, još uvek nije rešen problem nastanka zubnog karijesa, te kao takav predstavlja javno-zdravstveni problem širom sveta. Preventivna stomatologija ima za cilj da profilaktički deluje na nastanak oboljenja zuba i desni.
U pevenciju rada spadaju:
Motivacija i obuka pacijenta za pravilno održavanje oralne higijene
Uklanjanje zubnog kamenca i mekih naslaga
Zalivanje fisura
Fluorizacija zuba i izrada zaštitnih splintova
Motivacija i obuka pacijenta za pravilno održavanje oralne higijene

Redovno i pravilno pranje zuba predstavlja osnovnu meru oralne higijene. Upotreba adekvatne četkice za zube je preduslov za sprečavanje nastanka karijesa i oboljenja desni. Pacijente je neophodno motivisati tako što im teba predočiti sve prednosti blistavog osmeha, kao i oboljenja koja mogu nastati ukoliko se ne održava pravilna i redovna oralna higijena.
Za najveći broj osoba se preporučuje četkica sa oznakom "MEDIUM' (srednje tvrdoće), dok četkica sa oznakom "SOFT i ULTRA SOFT" (mekana i ultra mekana) treba da koriste pacijenti sa parodontopaijom, sa osetljivim desnima, kao i mala deca! Četkice koje nose ozaku "HARD" treba da koriste pacijenti sa fiksnim keramičkim protetskim nadoknadama.
Četkice je neophodno menjati na svaka tri meseca. Pacijenati sa fiksnim ortodontskim apatatom trebaju menjati četkicu i češće, zbog bržeg habanja vlakana četkice. Nezaobilazna stedstva za održavanje oralne higijene su zubna pasta, interdentalni konac, interdentalne četkice i tečnost za ispiranje usta na bazi hlorheksidina. Kao alternativa za ispiranje usta preporučuje se vodonik-peroksid 3% (hidrogen).
Pravilna tehnika pranja zuba

Pravilno pranje zuba obavlja samo mali broj osoba. Pranje zuba treba da traje između 3-5 min. Peru se sve površine zuba i jezika!
Pranje zuba uvek počinje od poslednjeg zuba i ide ka prednjim, i to najpre u gornjoj, pa u donjoj vilici. Vlakna četkice stoje pod uglom od 45% u odnosu na zub.
Zubi se peru u pravcu nicanja zuba, nikako ne koristiti neke druge kose pravce.
Peru se sve površine zuba (spoljašnje, grizne, unutrašnje). Grizne površine se peru u pravcu napred-nazad, tako da su vlakna četkice upravna na ove površine.

Obavezno je pranje jezika tehnikom od korena ka napred, na taj način se smanjuje broj bakterija u usnoj šupljini, kao i eliminacija neprijatnog zadaha.

Pranjem zuba se uklanja samo 60% zubnog plaka, zato je neophodno koristiti interdentalni konac. Zubi se peru obavezno dva puta dnevno, ujutro i uveče.

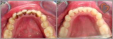
Uklanjanje zubnog kamenca i mekih naslaga

Uklanjanje zubnog kamenca i mekih naslaga je jedna od najvažnijih stomatoloških intervencija u održavanju oralne higijene, samim tim i u održavanju oralnog zdravlja. Zubni kamenac se stvara mineralizacijom dentalnog plaka, dok minerali potiču iz pljuvačke.
Zubni kamenac se stvara relativno brzo, proces mineralizacije traje od 12-14 dana. Proces nastanka z.k. je individualan, brže sa stvara kod starijih osoba, kod osoba kod kojih je Ph pljuvačke veći, kao i kod pušača, dok kod dece do 9 god. se i ne stvara. Može biti supragingivalni (vidljiv golim okom) i subgingivalni (nevidljiv za pacijente). Supragingivalni kamenac se stvara u blizini izvodnih kanala pljuvačnih žlezda (u donjoj vilici iza sekutića, a u gornjoj oko kutnjaka sa spoljašnje strane). Subgingivalni kamenac (konkrementi) se stvaraju samo kod pacijenata koji imaju parodontalne džepove, a džepovi mogu da nastanu oko svih zuba. O neophodnosti i značaju ove intervencije govori činjenica da z.k. izaziva zapaljenje, mehaničku kompresiju gingive, odličnu podlogu za razvoj bakterija, otežano održavanje higijene, kao i neprijatan zadah. Z.K. se uklanja ultrazvučnim aparatom i instrumentima podesnim za ovu intervenciju. Intervencija nije bolna, kod nekih pacijenata izaziva blagu nelagodnost. Posle detaljnog uklanjanja kamenca obavezno je poliranje svih površina zuba. Za poliranje se koristi rotirajuća četkica i pasta koja je prilagođena potrebama pacijenta. Ovaj postupak se preporučuje dva puta godišnje, dok bi pušai morali i češće da se podvrgnu ovoj intervenciji.

Fluorizacija

Fluoridi se u prevenciji karijesa koriste dosta dugo.Postoji dugogodisnja polemika oko toga da li su oni stetni i koliko je njihova primena bezbedna i opravdana.Fluoridi se u prevenciji karijesa koriste dosta dugo. Postoji dugogodišnja polemika oko toga da li su oni štetni i koliko je njihova primena bezbedna i opravdana.
Stav naše ordinacije je da primena fluorida uz stručan i kontrolisan način nije štetan za zdravlje pacijenta, izuzev kod trudnica. Smatramo da trudnice ne bi trebale da koriste sistemsku primenu fluorida.
Zalivanje fisura

Zalivanje fisura je profilaktička mera u stomatologiji, koja se sastoji od prekrivanja površina zuba koje predstavljaju predilekciona mesta za nastanak i razvoj karijesa.
Ova mesta se prekrivaju tečnim kompozitom koji je predviđen za ovu intetvenciju. Sam postupak je minimalno invazivan i što je najbitnije u potpunosti je bezbolan, zato ga mali pacijenti rado prihvataju.
Najčešće se zalivaju jemice i fisure prvih stalnih molara. Ovi zubi imaju najznačajniju ulogu u daljem formiranju okluzuje, tako da je od izuzetnog značaja da ovi zubi ostanu zdravi. Mogu se zalivati fisure i jamice ostalih stalnih zuba, kao i mlečni zubi ukoliko postoji potreba!
Izrada svih vrsta splintova i štitnika za zube
